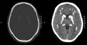
neurologies https://www.neurologies.net santé & bien être mental avec neurologies.net Fri, 07 Jun 2024 19:30:58 +0000 fr-FR hourly 1 https://wordpress.org/?v=6.5.4 https://www.neurologies.net/wp-content/uploads/2021/01/cropped-icone-1-32x32.png neurologies https://www.neurologies.net 32 32 Le syndrome de Fahr, comment ça se présente ? https://www.neurologies.net/le-syndrome-de-fahr-comment-ca-se-presente/ https://www.neurologies.net/le-syndrome-de-fahr-comment-ca-se-presente/#respond Fri, 07 Jun 2024 19:26:08 +0000 https://www.neurologies.net/?p=211 Le patient est confirmé d’avoir le syndrome de Fahr en cas d’association d’une symptomatologie typique et d’images caractéristiques au scanner cérébral ou l’IRM. Il n’y a aucun traitement spécifique pour ce syndrome.

Qu’est-ce que le syndrome de Fahr ?

Le syndrome de Fahr est une affection neurologique qui inclut les troubles psychiatriques et cognitifs, des impulsions inhabituelles et des calcifications caractéristiques visibles sur l’imagerie cérébrale. Elle est une cellule anatomoclinique rare qui se situe dans les noyaux gris centraux.

La cause du syndrome de Fahr

La plupart du temps, le syndrome de Fahr touche les personnes âgées de 40 à 50 ans avec une supériorité masculine. Il est causé par les dépôts de calcium et d’autres minéraux dans les parois vasculaires, mais également dans les espaces péri-vasculaires du cerveau, particulièrement dans les noyaux gris centraux.Ces dépôts peuvent être à l’origine du désordre même si les processus ne sont pas déterminés. Le syndrome de Fahr peut être familial ou individuel. S’il est familial, il y a une transmission génétique.

Les manifestations du syndrome de Fahr

Le syndrome de Fahr présente de nombreux symptômes comme :
– Les crises d’épilepsie
– Les troubles de la marche et de l’équilibre
– Les mouvements faibles
– Les trous de mémoire
– L’altération de la concentration
– Les problèmes du comportement et de la personnalité avec une modification du caractère
– Les signes psychiatriques tels que la dépression, les troubles obsessionnels et psychotiques
– Les changements anormaux peuvent être variables de nature syndrome parkinsonien qui renferme les tremblements, la rigidité musculaire, les mouvements lents ou akinésie. Il existe aussi la dystonie ou la contraction musculaire inhabituelle, les mouvements athétosiques, la dyskinésie ou bien les gestes rapides et irréguliers. Ce sont toutes des indications sur la maladie de Fahr.
Cette maladie a des traitements, mais il est plus convenable de consulter les spécialistes en syndrome de Fahr.

]]>
https://www.neurologies.net/le-syndrome-de-fahr-comment-ca-se-presente/feed/ 0
Maladie neurodégénérative d’un proche : comment faire face au deuil blanc ? https://www.neurologies.net/maladie-neurodegenerative-dun-proche-comment-faire-face-au-deuil-blanc/ https://www.neurologies.net/maladie-neurodegenerative-dun-proche-comment-faire-face-au-deuil-blanc/#respond Mon, 18 Mar 2024 14:32:30 +0000 https://www.neurologies.net/?p=204 Le deuil blanc que l’on vit, lorsqu’un proche est atteint d’une maladie neurodégénérative, est un processus long, éprouvant et insoutenable. Par-dessus tout, il se poursuit sur le deuil classique après la disparition de l’être aimé. Vous devez vous ménager psychologiquement pour ne pas sombrer dans la dépression. Voici quelques conseils qui vous évitent de subir ce deuil blanc ou de le surmonter s’il s’est déjà installé.

Gérer ses émotions

Accepter et exprimer ses émotions

Tout aidant chargé de l’accompagnement d’une personne en fin de vie peut être victime de ce qu’on appelle deuil blanc. Si vous faites face à ce type de deuil, vous devez reconnaître que toutes les émotions sont légitimes et normales (tristesse, colère, peur, culpabilité, etc.). C’est le premier pas pour mettre fin au deuil blanc. Ne cherchez pas à refouler ces émotions ni à les minimiser : autorisez-vous à les vivre et à les ressentir pleinement. Exprimez-les de la manière qui vous met le plus à l’aise : pleurez, criez, parlez, écrivez, etc.

Parler de ce qu’on ressent

Discutez de vos émotions et de vos pensées avec des personnes en qui vous avez confiance. N’ayez pas peur d’être un poids pour elles ni de les ennuyer : les vrais amis sont là pour ça ! Si vous trouvez des groupes de parole entre aidants, allez à leurs réunions pour vous sentir compris et soutenu. Dans la mesure du possible, surtout financièrement, consultez un psychologue pour un suivi régulier. Durant les séances, ce spécialiste vous initie aux techniques de gestion des émotions. Vous pourrez ainsi bloquer l’apparition du deuil blanc.

Comprendre la maladie du proche

S’informer sur la maladie

Faites des recherches pour comprendre les mécanismes de la maladie neurodégénérative, ses différents stades, les traitements et évolutions possibles. N’ayez pas peur de poser des questions aux médecins qui suivent votre proche atteint d’une maladie neurodégénérative. Retenez que la prise en charge de votre parent n’est pas seulement médicale. Repérez les ressources et aides disponibles en dehors du milieu médical (associations, services sociaux, structures d’accueil, etc.). Vous trouverez beaucoup de soutien dans ces structures, ce qui rendra le deuil blanc beaucoup plus supportable. Renseignez-vous sur les démarches administratives et juridiques à effectuer pour obtenir des aides financières et gérer le patrimoine de votre proche, car celui-ci ne pourra plus s’en occuper. Par-dessus tout, ne vous focalisez pas sur les aspects négatifs.

Profiter du moment présent

Vivez l’instant présent. Profitez de chaque minute que vous passez avec votre proche sans trop anticiper l’avenir. Appréciez ce qu’il est encore capable de faire au lieu de ruminer l’idée que cette maladie neurodégénérative est en train de lui faire perdre ses facultés. Adapter les activités que vous faites et votre manière de communiquer avec cette personne pour maintenir une relation pleine de complicité avec elle. Créez de nouveaux souvenirs agréables au lieu d’évoquer le passé ou de chercher à vivre comme avant. En procédant ainsi, vous empêchez le deuil blanc de s’installer, car il n’y a pas de place pour la nostalgie en vous.

Prendre soin de soi et se préparer à la suite

Continuer à avoir des activités personnelles

Réservez-vous quelques heures pour faire des activités qui vous plaisent. À ce moment-là, déléguez sans culpabilité. Cette démarche est nécessaire pour ne pas vous épuiser physiquement et psychologiquement : cet épuisement ouvre la porte au deuil blanc. N’hésitez pas à demander de l’aide matérielle et le soutien « logistique » de votre entourage. Dormez, mangez et bougez !

Se préparer progressivement à la disparition

Vous devez prendre conscience que la personne que vous connaissiez autrefois est en train de disparaitre petit à petit à cause de sa maladie neurodégénérative. Faites des rituels d’adieu pour accepter cette perte progressive. Dites à votre proche ce que vous ressentez tant qu’il peut encore l’entendre et comprendre. Dans le même temps, projetez-vous dans l’avenir : réfléchissez à de nouveaux projets personnels après le départ de votre parent.

Bien s’entourer et se faire aider

Luttez contre le repli et l’isolement social en contactant famille et amis. Intégrez un groupe d’entraide dédié aux aidants pour bénéficier d’un soutien mutuel. Faites-vous aider concrètement pour les tâches du quotidien. Discutez avec des professionnels (psychologue, assistante sociale, etc.). Les liens sociaux sont un puissant bouclier contre le deuil blanc.

]]>
https://www.neurologies.net/maladie-neurodegenerative-dun-proche-comment-faire-face-au-deuil-blanc/feed/ 0
Les vaccins à faire avant de partir en voyage https://www.neurologies.net/les-vaccins-a-faire-avant-de-partir-en-voyage/ https://www.neurologies.net/les-vaccins-a-faire-avant-de-partir-en-voyage/#respond Mon, 26 Dec 2022 09:02:31 +0000 https://www.neurologies.net/?p=195 Il est indispensable de mettre à jour les vaccins nécessaires avant de partir en voyage. Cela est indispensable surtout si vous partez dans un pays à risque pour la santé. Vous devriez alors prendre en compte les vaccins suivants.

Les vaccins universels

Les vaccins universels sont généralement obligatoires avant de partir en voyage. Ils doivent être mentionnés dans le carnet de santé afin d’éviter des ennuis une fois que vous serez à destination. Ainsi, ces vaccins sont le DTP ainsi que le BCG et le ROR. Vous devriez aussi faire un vaccin contre l’hépatite B et la coqueluche. Pour les nourrissons, il faut une vaccination de méningite cérébro-spinale et hémophile. Notez que les vaccins sont indispensables pour les nourrissons ainsi que les personnes âgées. Toutefois, il faut prendre en compte la santé et l’âge, mais aussi les activités prévues pendant le voyage.

Les vaccins spécifiques en cas de traitement

Certes, les vaccins universels peuvent suffire si le pays de destination est garanti sans risque. En outre, sachez que des maladies peuvent sévir dans certains pays. Vous devriez alors choisir les vaccins en fonction des maladies ainsi que des infections que vous pourriez avoir. Vous aurez par exemple besoin d’un vaccin contre la fièvre jaune si vous partez en Afrique ou en Amérique du Sud. Un rappel du vaccin contre l’encéphalite japonaise est indispensable pour les voyages en Asie et en Océanie. En tout cas, il est recommandé de prendre des informations sur votre pays de destination pour obtenir les bons vaccins.

Le prix et le certificat de vaccination

Les vaccins universels sont généralement pris en charge par la Sécurité sociale. Quant aux vaccinations spécifiques, le prix dépend du vaccin en question. Vous devriez alors vous informer sur ce point afin d’éviter les mauvaises surprises. Notez que certaines mutuelles peuvent vous proposer des remboursements pour les vaccins. Vous obtiendrez aussi un certificat de vaccination dont la validité dépend toujours du vaccin. Le document est par exemple valable pendant 10 ans si vous vous faites vacciner contre la fièvre jaune.

]]>
https://www.neurologies.net/les-vaccins-a-faire-avant-de-partir-en-voyage/feed/ 0
Tout savoir sur les soins à domicile https://www.neurologies.net/tout-savoir-sur-les-soins-a-domicile/ https://www.neurologies.net/tout-savoir-sur-les-soins-a-domicile/#respond Thu, 03 Nov 2022 09:01:45 +0000 https://www.neurologies.net/?p=188 Pour la plupart des maladies et traitements, on a souvent le choix d’opter pour un soin à domicile. C’est aussi un avantage pour chaque patient d’être traité dans un environnement qui lui est familier. Quels sont les types de soins à domicile ? En voici deux ainsi que quelques exemples de maladies que l’on peut traiter à domicile.

Se faire hospitaliser à domicile ou HAD

Avant de prendre une décision, vous devez vous informer. Ensuite, sachez que l’HAD (hospitalisation à domicile) nécessite l’autorisation du médecin traitant.

Le cas de la femme enceinte

Il est judicieux d’hospitaliser à domicile une femme qui fait une grossesse à risque. C’est la meilleure solution pour éviter une fausse couche. Pendant toute la durée de la gestation, elle reste au lit. Elle s’abstient de trop bouger. Il faut aussi prendre en compte les nombreux traitements (obstétriques, cardiaques, etc.) dont la femme enceinte doit bénéficier. L’HAD d’une grossesse à risque requiert des soins complets jusqu’à l’accouchement. Il faut notamment faire venir du personnel qualifié (gynécologue, pédiatre, cardiologue, hémobiologiste, etc.). Ils suivent et améliorent l’état de la patiente.

Bénéficier des soins infirmiers à domicile

Ces soins sont pratiqués par les spécialistes en soins paramédicaux : infirmiers, aides-soignants, kinésithérapeutes, ergothérapeutes, etc. Même sans HAD, de nombreux patients peuvent bénéficier de ces services à leur domicile.

Par exemple : les personnes âgées avec des maladies chroniques

Tout le monde préférerait être aux côtés de ses parents malades. Mais ce n’est pas toujours possible. Les proches font souvent venir des aides-soignants chez eux. Ces spécialistes sont là pour donner à leurs clients leurs traitements. Il faut faire attention de bien différencier les soins infirmiers des aides à domicile. Ces derniers font le ménage, préparent la nourriture, etc. Les infirmiers accompagnent médicalement les personnes âgées ayant des maladies (par exemple : le diabète). Les bénéficiaires de ces services ne se soucient plus de l’heure auxquelles elles doivent prendre leurs médicaments. Elles n’ont plus besoin de se déplacer pour leurs piqûres d’insuline. Les infirmiers s’en chargent.

Par exemple : les personnes en rééducation post opératoire ou après des fractures

C’est ici qu’entrent en jeu les kinésithérapeutes. Divers exercices permettent le renforcement musculaire et la réadaptation post chirurgicale de la personne. Les patients hospitalisés à domicile ont, eux aussi, besoin de soins infirmiers.

]]>
https://www.neurologies.net/tout-savoir-sur-les-soins-a-domicile/feed/ 0
FAQ sur le matelas à ressorts ensachés https://www.neurologies.net/faq-sur-le-matelas-a-ressorts-ensaches/ https://www.neurologies.net/faq-sur-le-matelas-a-ressorts-ensaches/#respond Thu, 14 Jul 2022 12:18:12 +0000 https://www.neurologies.net/?p=180 De nombreux types de matelas existent sur le marché. L’un des plus vendus est le matelas à ressorts ensachés. Qu’est-ce que c’est ? Pourquoi l’acheter et quels sont les points à connaître sur ce produit ? Découvrez ci-dessous notre FAQ.

C’est quoi un matelas à ressorts ensachés ?

Le matelas à ressorts ensachés est une catégorie de matelas dont la technologie est différente des autres. Les ressorts qui le constituent sont ensachés, ce qui apporte de nombreux avantages aux dormeurs. Le matelas à ressorts ensachés fait partie des produits de literie les plus performants sur le marché, car il est équipé de plus de 400 ressorts offrant un effet mille-feuilles. La particularité de cette technologie réside dans le fait qu’il évite la transmission de mouvement. Le dormeur n’aura donc aucune notion des mouvements de son partenaire lorsque celui-ci se lève ou bouge sur le matelas.

Quels sont les avantages d’un matelas à ressorts ensachés ?

 

L’un des nombreux avantages de choisir un matelas à ressorts ensachés est qu’il offre un confort rarement égalé par les autres produits. Il est idéal pour les personnes qui ont tendance à bouger dans leur lit, gênant les autres. De plus, la technologie ressorts ensachés permet une meilleure précision dans le maintien de la colonne vertébrale. Enfin, de fil en aiguille, le dormeur sera plus productif dans son quotidien après une bonne nuit de sommeil.

Quels en sont les inconvénients ?

 

Le matelas à ressorts ensachés n’a d’inconvénients que son prix. En effet, son prix est plus élevé que certains types de matelas en vente et n’est donc pas destiné aux petits budgets.

Quels sont les critères d’achat ?

L’achat d’un matelas à ressorts ensachés dépend de plusieurs critères :

– le nombre d’utilisateurs ;
– la surface du lit ;
– le profil des utilisateurs (gros dormeurs, sujet à des allergies, etc.) ;
– la marque ;
– le SAV.

]]>
https://www.neurologies.net/faq-sur-le-matelas-a-ressorts-ensaches/feed/ 0
Ce qu’il faut retenir sur le CoVid-19 https://www.neurologies.net/ce-quil-faut-retenir-sur-le-covid-19/ https://www.neurologies.net/ce-quil-faut-retenir-sur-le-covid-19/#respond Fri, 03 Jun 2022 12:21:24 +0000 https://www.neurologies.net/?p=175 Le CoVid-19 fait beaucoup de ravage dans le monde. Le nombre de décès ne cesse d’augmenter tous les jours. Il est plus juste de prendre les informations concernant cette maladie pour mieux le comprendre.

D’où vient le coronavirus et comment se transmet-il ?

Le nouveau coronavirus est apparu pour la première fois en Chine en décembre 2019. Le premier a été localisé dans la cité de Wuhan dans la province d’Hubei. La source du virus serait animale. En effet, le spécialiste tend à dire que le principal hôte de cette épidémie est la chauve-souris. La maladie se transmet principalement par des postillons ou des gouttelettes de salive. La transmission peut aussi se faire par l’air.

Les symptômes récurrents de la maladie

Les symptômes du coronavirus sont nombreux. Mais, les plus vues depuis son apparition sont la fièvre et la toux sèche. Vous pourriez aussi ressentir beaucoup de fatigue ainsi que de l’expectoration épaisse des poumons. L’essoufflement est aussi un symptôme à ne pas prendre à la légère tout comme les douleurs articulaires. À ceux-là s’ajoutent les maux de gorge, mais aussi les maux de tête. Les frissons sont des symptômes moins vus ainsi que les nausées.

Qui sont les personnes les plus sensibles ?

Senior woman wearing safety protective mask at home and talking to nurse holding digital tablet. Back view of young doctor visiting old woman for routine health checkup during covid-19 pandemic. Young general practitioner and elderly patient wearing face masks in a private medical consult during coronavirus and flu outbreak.

Les personnes de plus de 50 ans sont les plus susceptibles d’attraper facilement le SARS-Cov-2. Mais, cela ne veut pas dire que les jeunes ne peuvent pas être touchés. Les individus qui souffrent d’insuffisance cardiaque stade NYHA III ou IV sont aussi susceptibles d’attraper le virus. Il faudrait aussi surveiller ceux qui souffrent d’insuffisance rénale chronique dialysée. On peut en même temps évoquer les personnes qui ont des antécédents cardiovasculaires.

Qu’en est-il du traitement ?

Aucun traitement ne s’est avéré efficace à 100 % pour combattre le coronavirus. Les médecins recommandent en ce moment des traitements en fonction des symptômes. Toutefois, de nombreux vaccins sont déjà proposés sur le marché pour essayer de ralentir au maximum la propagation du virus. Mais le traitement universel reste en cours de recherche dans les laboratoires dans le monde entier.

]]>
https://www.neurologies.net/ce-quil-faut-retenir-sur-le-covid-19/feed/ 0
Comment traiter l’hallucination auditive ? https://www.neurologies.net/comment-traiter-lhallucination-auditive/ https://www.neurologies.net/comment-traiter-lhallucination-auditive/#respond Thu, 24 Feb 2022 08:21:44 +0000 https://www.neurologies.net/?p=170 Les hallucinations auditives ou paralysies auditives sont très répandues. Cette maladie n’est pas la seule ressentie par la personne qui perçoit des sons sans connaître leur origine. Le point dans les prochaines lignes.

Qu’est-ce que l’hallucination auditive ?

L’hallucination auditive est une affection liée à la maladie mentale. Cela implique souvent la perception de sons dont l’origine ne provient pas d’un stimulus interne ou externe. Ce phénomène se produit souvent. Selon les études, un patient sur 20 entend un certain son. Il faut noter que l’hallucination auditive n’est pas comme les acouphènes. Sa première cause est généralement un problème mental appelé schizophrénie.

La consommation d’alcool, de drogues ou d’autres substances toxiques peut également causer des hallucinations au niveau de l’audition. Des déficiences auditives ou des maladies neurologiques peuvent aussi en être à l’origine. Rendez-vous ici pour en savoir plus sur les hallucinations auditives. Quoi qu’il en soit, celle-ci peut être nocive pour les personnes qui croient entendre des voix malveillantes qui leur parlent dans leurs pensées ou guident leurs actions.

Comment traiter cette maladie ?

Si le problème est lié à la consommation de drogues ou d’alcool, des médicaments peuvent être prescrits par un spécialiste pour prévenir les hallucinations. Autrement, la cure de désintoxication peut être recommandée pour mieux les supprimer.

Si l’origine de cette maladie implique des médicaments, il faudra voir le médecin et demander à modifier le traitement.

S’il s’agit d’un problème de surdité ou auditif, la meilleure solution est d’envisager l’utilisation une aide auditive. Le port de cet appareil peut aider à mettre un terme à l’hallucination.

Ceux qui souffrent de troubles mentaux ou de schizophrénie doivent consulter pour être pris en charge. Toutefois, il ne faut pas confondre les illusions et les hallucinations auditives. Les premières sont un malentendu. Dans ce cas, la personne peut percevoir un son sans stimulation. Selon les experts, elle est incapable de faire la différence entre les sons de la même fréquence. Cela peut être dû à son âge, sa sensibilité ou son mécanisme auditif. Contrairement à l’hallucination, l’illusion auditive peut provenir d’un son existant et émis.

]]>
https://www.neurologies.net/comment-traiter-lhallucination-auditive/feed/ 0
Comment sortir d’une relation toxique avec un pervers narcissique ? https://www.neurologies.net/comment-sortir-dune-relation-toxique-avec-un-pervers-narcissique/ https://www.neurologies.net/comment-sortir-dune-relation-toxique-avec-un-pervers-narcissique/#respond Fri, 30 Jul 2021 09:17:44 +0000 https://www.neurologies.net/?p=132 Aux abords charmants et serviables, les pervers narcissiques ont tout pour vous séduire au début d’une relation. Cependant, leurs tendances manipulatrices apparaissent toujours et finissent par nuire à leur entourage. Pour éviter de sombrer dans une relation toxique, vous devez agir rapidement.

Parler aide à vous libérer

Pour ne plus être victime d’une relation toxique, vous devez d’abord prendre conscience des effets néfastes que la personne a sur vous. En effet, il est assez courant de voir des victimes de pervers narcissiques qui se mettent à croire que le problème vient d’eux. Une fois que vous aurez pris conscience que vous méritez mieux, vous pourrez mettre un terme à cette relation. Pour vous y aider, effectuez un travail sur vous-même. La première étape vers la libération consiste à accepter la souffrance. De cela va découler l’envie de s’ouvrir à d’autres horizons. Pour franchir ce cap, confiez-vous à vos proches. Si vous avez du mal à vous livrer à eux, vous pouvez également en discuter avec un professionnel. Vous pouvez aussi rejoindre un groupe de discussion destiné aux victimes de pervers narcissique pour vous aider à sortir de son emprise.

Désintoxiquez-vous

Se désintoxiquer d’un pervers narcissique signifie couper les ponts. Sachez qu’il est inutile d’engager la discussion vu que ce type de personne est incapable de changer de son plein gré. Si la séparation peut s’avérer difficile au début, vous verrez qu’il s’agit de votre meilleure décision. En vous éloignant, vous vous rendrez vite compte de la bouffée d’oxygène qui vous envahit. Au cours de ce processus, l’idéal est de se faire accompagner par ses proches, car socialiser vous évitera de vous morfondre.

Travaillez sur une nouvelle version de vous-même

Se reconstruire à la suite d’une relation toxique est un processus qui requiert des efforts de votre part. Vous aurez besoin de soutien pour y arriver. Au cours de cette étape, identifiez vos faiblesses. Les reconnaître vous permettra de les rendre moins accessibles aux autres. Pour vous reconstruire, prenez des vacances et prenez soin de vous. C’est également le moment de vous consacrer aux activités que vous appréciez, que ce soit dans le domaine professionnel ou dans le domaine privé.

]]>
https://www.neurologies.net/comment-sortir-dune-relation-toxique-avec-un-pervers-narcissique/feed/ 0
Comment préserver sa santé ? https://www.neurologies.net/comment-preserver-sa-sante/ https://www.neurologies.net/comment-preserver-sa-sante/#respond Wed, 07 Jul 2021 13:05:41 +0000 https://www.neurologies.net/?p=127 On dit que la santé est la plus grande des richesses. Effectivement, être en pleine forme permet d’effectuer ses travaux quotidiens tout en jouissant de la vie. Ainsi, la santé est synonyme d’équilibre qu’on doit conserver en suivant une bonne hygiène de vie.

Les facteurs qui influencent l’équilibre physiologique

Être en bonne santé signifie avoir un équilibre physiologique et mental. Si l’un de ces deux équilibres bascule, l’organisme réagit par diverses réactions chimiques et hormonales internes qui entraînent une affection ou un dysfonctionnement d’un organe particulier. De ce fait, il est important de maintenir la santé. Pour cela, il suffit de s’habituer à certains régimes alimentaires et certains modes de vie. Concernant la santé physique, le poids, l’hydratation, le sommeil sont les facteurs corporels les plus influents. En effet, l’obésité, par exemple, expose à des risques de maladies chroniques comme le diabète, les atteintes cardiovasculaires, les atteintes rénales et les troubles métaboliques. La déshydratation, quant à elle, perturbe tous les processus physiologiques comme l’hydrolyse des aliments et des toxines et l’évacuation des déchets métaboliques. Le manque de sommeil fatigue l’organisme, modifie l’humeur et diminue toutes les aptitudes du corps. Il est donc primordial de maintenir le poids à l’idéal selon le calcul de l’Indice de Masse Corporelle, de bien s’hydrater toute au long d’une journée et de dormir au moins sept heures par jour pour optimiser son état complet. Quelques règles d’hygiène de vie comme l’arrêt du tabagisme et la modération de la prise d’alcools sont aussi à adopter.

Quelques astuces permettant de rester en forme

Conserver la santé n’est pas une mince affaire. Cependant, si on a s’adapte à une bonne hygiène de vie on ne peut être surpris par certaines maladies. On entend par « bonne hygiène de vie » : un mode de vie équilibré. L’alimentation et le sport sont les paramètres qui permettent de définir cela. Selon une étude récente par exemple, le jeune intermittent permet de perdre les excédents de poids rapidement tout en détoxifiant l’organisme. Ce mode de régime est très en vogue en ce moment et a permis à beaucoup de gens en surpoids de perdre leurs kilos superflus. C’est un programme qui fait souvent peur à cause des privations considérées comme extrêmes, mais on y fait des suivis minutieux afin que le résultat soit bénéfique pour la santé du pratiquant et non fatale. Cependant, pour ce genre d’expérience il faut être suivi par un expert. La pratique d’activités physiques régulières tonifie et rend le corps beaucoup plus résistant. En plus de cela, le sport améliore l’humeur en produisant des molécules chimiques qui relaxent et détend l’organisme.

]]>
https://www.neurologies.net/comment-preserver-sa-sante/feed/ 0
Départ à l’étranger : êtes-vous bien couvert ? https://www.neurologies.net/depart-a-letranger-etes-vous-bien-couvert/ https://www.neurologies.net/depart-a-letranger-etes-vous-bien-couvert/#respond Fri, 11 Dec 2020 12:09:01 +0000 http://www.neurologies.net/?p=61 Les départs à l’étranger ne se font pas sur un coup de tête. De préférence, il faudra régler les détails administratifs avant l’embarquement à l’étranger. Les formalités dépendent de la destination, mais également de la durée du séjour. Retrouvez ci-après quelques recommandations indispensables avant votre périple international.

En Europe, vous restez sous couverture

La Sécurité sociale ou la Sécu offre une couverture sanitaire universelle sur le territoire national, mais également au niveau européen. Les ressortissants des pays membres de l’Union et de la Suisse jouissent d’une certaine continuité de la prévoyance. Pour bénéficier de cette couverture des frais médicaux à l’étranger, il faudra se munir d’une CEAM. C’est la carte européenne qui a cours dans un grand nombre de pays dans le Vieux Continent. Elle a une validité d’une année, mais l’accord multilatéral entre la France et les signataires demeure en vigueur sur 36 mois. Cette durée peut être renouvelée pour une seconde fois et atteindre le double. Il faudra tout de même bien considérer que les couvertures de la Sécu à l’étranger sont les mêmes qu’en France. Elles concernent essentiellement les dépenses basiques. Il faudra mettre la main à la poche pour une longue hospitalisation, les soins dentaires ou des pathologies spécifiques.

Tout dépend aussi du motif de votre séjour à l’étranger

La durée et le motif du séjour à l’étranger comptent énormément. S’il s’agit d’un voyage de loisir de quelques jours ou semaines en Europe, vous n’avez pas à vous en faire sur votre couverture. Si vous avez une carte bancaire internationale, tout devrait aller. Il faudra tout de même voir les détails avec le consulat si vous partez en dehors du Vieux Continent. Ce serait mieux de souscrire à une assurance voyage. Cette précaution donne droit au remboursement de l’intégralité des dépenses médicales. Elle inclut aussi les garanties pour les bagages, la responsabilité civile ainsi que les éventuelles annulations. Cela dit, elle a un délai de 3 mois maximum. Il faudra une police spécifique pour un tour du monde d’une année, un visa travail-vacances (PVT) ou une expatriation. À ce titre, vous devriez vous rapprocher de la CFE ou la caisse des Français de l’Étranger pour bénéficier d’une couverture similaire à celle de la Sécu pendant votre long séjour.

]]>
https://www.neurologies.net/depart-a-letranger-etes-vous-bien-couvert/feed/ 0